Περιοχή εικόνας: Κάντε μια περιήγησηΑριθμός θέματος: 1425411620218
Η περιοχή εικόνας εμφανίζει τις εικόνες εξέτασης που σχετίζονται με την τρέχουσα εργασία και συνδυάζει όλα τα εργαλεία εμφάνισης εικόνων, χειρισμού και βελτίωσης για σκοπούς διάγνωσης.
Επισκόπηση

| # | Όνομα | Περιγραφή |
|---|---|---|
|
1 |
Επάνω γραμμή εργαλείων |
Εργαλεία για εμφάνιση εικόνων, μετρήσεις, πρωτόκολλα ανάρτησης και ούτω καθεξής. |
|
2 |
Παράθυρο |
Εικόνες ή σειρές: Ο τύπος προβολής εξαρτάται από το επιλεγμένο πρωτόκολλο ανάρτησης. |
|
3 |
Γραμμή κατάστασης |
Συντελεστής μεγέθυνσης, τιμή pixel και τιμή φωτεινότητας. |
|
4 |
Ανοικτές εξετάσεις / Πλευρική γραμμή κλινικών στοιχείων |
Διαθέσιμες εικόνες για εξετάσεις που είναι ανοικτές. Όταν είναι διαθέσιμες, εμφανίζονται επίσης κλινικές εφαρμογές και εργαλεία. |
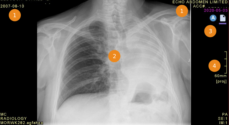
Επισκόπηση παραθύρου
Παρακάτω εμφανίζονται οι κυριότερες περιοχές ενός παραθύρου.

| # | Όνομα | Περιγραφή |
|---|---|---|
|
1 |
Δημογραφικά στοιχεία |
Δημογραφικά στοιχεία ασθενούς και άλλες τεχνικές πληροφορίες και πληροφορίες σχετικά με τη λήψη. |
|
2 |
Εικόνα |
Εικόνα για εξέταση. |
|
3 |
Σήμανση εξέτασης |
Ένδειξη ενεργής / συγκριτικής εξέτασης. |
|
4 |
Χάρακας |
Χάρακας, μονάδα μέτρησης και κωδικός βαθμονόμησης. |