Μέτρηση γωνιών ισχίου-γόνατου-αστραγάλουΑριθμός θέματος: 1425412403399
Επιλέξτε το εργαλείο Γωνία ισχίου-γόνατου-αστραγάλου και κάντε κλικ στα κατάλληλα σημεία στην ορθοπεδική εικόνα για να κάνετε τη μέτρηση.
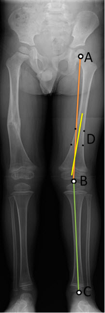
Για να μετρήσετε τη γωνία ισχίου-γόνατου-αστραγάλου
![]() | Συμβουλή: Για να κάνετε μετατόπιση και ζουμ στην εικόνα ενώ το εργαλείο μέτρησης είναι ενεργό, πατήστε Διάστημα και σύρετε την εικόνα προς μετατόπιση ή χρησιμοποιήστε τον τροχό του ποντικιού για μεγέθυνση και σμίκρυνση. |
- Στην επάνω γραμμή εργαλείων της περιοχής εικόνας, κάντε κλικ στο βέλος δίπλα στον χάρακα για να ανοίξει η λίστα σημάνσεων και επιλέξτε Γωνία ισχίου-γόνατου-αστραγάλου.

- Κάντε κλικ σε τρία σημεία στο περίγραμμα της οστεοποιημένης κεφαλής του μηριαίου. (Το κέντρο εμφανίζεται ως A στο διάγραμμα.)
- Κάντε κλικ στην περιφερική επίφυση του μηριαίου (Β στο διάγραμμα).
- Κάντε κλικ στην τροχιλία αστραγάλου (C στο διάγραμμα).
Σχηματίζεται μια γραμμή ανάμεσα στην επίφυση του μηριαίου και την τροχιλία αστραγάλου. Επίσης σχηματίζεται μια γραμμή που επισημαίνει τη γωνία ανάμεσα στις δύο γραμμές.

Οι γραμμές στην εφαρμογή εμφανίζονται σύμφωνα με τις προεπιλογές χρωμάτων του συστήματος. Το διάγραμμα χρησιμοποιεί διαφορετικά χρώματα προς αποφυγή αμφισημίας.
