Εμφάνιση δημογραφικών στοιχείων σε μια εξέτασηΑριθμός θέματος: 1454511610789
Μπορείτε να εμφανίσετε δημογραφικά στοιχεία, όπως ο αριθμός μητρώου εξέτασης, ο τύπος εξέτασης, η ημερομηνία εξέτασης, ο αριθμός σειράς και ούτω καθεξής, ως επικάλυψη σε κάθε σειρά στην εξέταση του ασθενούς.
![]() | ΠΡΟΣΟΧΗ! Οι ενοποιήσεις τρίτων στο XERO δεν ελέγχουν τον συγχρονισμό μεταξύ των 2 εφαρμογών. Φροντίστε πάντα να επιβεβαιώνετε τα δημογραφικά στοιχεία ασθενούς όταν χρησιμοποιείτε εφαρμογές τρίτων. |
Μπορείτε να εμφανίσετε ή να αποκρύψετε αυτά τα δεδομένα. Μπορείτε να ορίσετε το αν η εντολή είναι διαθέσιμη και το αν εμφανίζονται οι πληροφορίες στο Περιβάλλον εργασίας διαχειριστή. Επικοινωνήστε με τον διαχειριστή του συστήματος για πληροφορίες.
Αν σε μια εξέταση έχει ανατεθεί μια εργασία ποιοτικού ελέγχου, τότε εμφανίζεται μια ένδειξη (
) στην περιοχή εικόνας σε όλα τα παράθυρα. Η ένδειξη ενεργοποιείται κατά προεπιλογή και εμφανίζεται όταν μια εργασία ανατίθεται, είναι σε εξέλιξη ή τίθεται σε παύση.
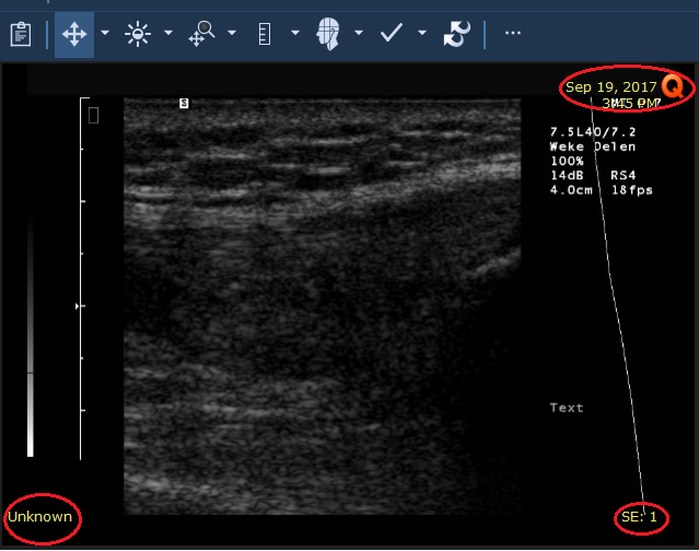
Εξέταση ασθενούς όπου αποκρύπτονται οι δημογραφικές πληροφορίες ![]() | Εξέταση ασθενούς όπου εμφανίζονται οι δημογραφικές πληροφορίες (σε κύκλο) ![]() |
| Από: | Κάντε τα εξής: |
|---|---|
| Η περιοχή εικόνας σε μια εξέταση ασθενούς |
|
| Η περιοχή αναζήτησης | Επιλέξτε Εναλλαγή δημογραφικών στοιχείων. |



