Πολυεπίπεδη ανασύνθεση (MPR)Αριθμός θέματος: 1493923292411
Η πολυεπίπεδη ανασύνθεση είναι ένας τρόπος ανασύνθεσης εγκάρσιων, στεφανιαίων, οβελιαίων ή πλάγιων προβολών τομών σε οποιοδήποτε από τα παραπάνω επίπεδα.
![]() | ΠΡΟΕΙΔΟΠΟΙΗΣΗ! Τα εργαλεία 3D και MPR δεν πρέπει να χρησιμοποιούνται για διάγνωση. Αυτά τα εργαλεία παρέχονται για την υποστήριξη λήψης αποφάσεων αλλά τα τελικά συμπεράσματα πρέπει πάντοτε να βασίζονται στις αρχικές τομές. |
MPR: Βασικές δυνατότητες
Για να ενεργοποιήσετε την εμφάνιση MPR, πρέπει να επιλεχθεί από το μενού κειμένου εντός του XTend.
![]() | Συμβουλή: Μπορείτε να αλλάξετε τις σειρές που έχουν υποστεί ανασύνθεση μεταφέροντας μια νέα σειρά από την πλευρική γραμμή κλινικών στοιχείων σε οποιοδήποτε παράθυρο MPR. |
Η προεπιλεγμένη διάταξη MPR αποτελείται από τρία χρωματικά κωδικοποιημένα παράθυρα που εμφανίζουν εγκάρσια, στεφανιαία και οβελιαία επίπεδα. Κάθε ένα από αυτά τα παράθυρα περιέχει δύο τεμνόμενες γραμμές εντοπισμού που αντιπροσωπεύουν τα επίπεδα που είναι ορατά στα δύο άλλα παράθυρα. Οι γραμμές εντοπισμού είναι επίσης χρωματικά κωδικοποιημένες για να αντιστοιχούν στις προβολές που αντιπροσωπεύουν.
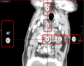
![]() | Μετατόπιση κέντρου (1) | Μετακινήστε τη θέση δύο επιπέδων ταυτόχρονα σύροντας τη λαβή μετατόπισης κέντρου. |
![]() | Μετατόπιση επιπέδου (2) | Μετακινήστε τη θέση ενός επιπέδου σύροντας τη λαβή μετατόπισης επιπέδου. |
![]() | Περιστροφή επιπέδου (3) | Περιστρέψτε το επίπεδο (το ορθογώνιο επίπεδο επιστρέφεται επίσης) σύροντας τη λαβή περιστροφής επιπέδου. |
![]() | Λεπτομερής πλοήγηση (4) | Περιηγηθείτε στον όγκο που έχει υποστεί ανασύνθεση σύροντας την περιοχή ενδιαφέροντος λεπτομερούς πλοήγησης. |
![]() | Συμβουλή: Μπορείτε επίσης να γείρετε το τρέχον ενεργό τμήμα παραθύρου σύροντας την εικόνα με το εργαλείο περιστροφής. |





