Ρύθμιση φωτεινότητας πολλαπλών κλιμάκων εικόνων CR/DX και MG: ΈννοιεςΑριθμός θέματος: 1425412830680

Η ρύθμιση φωτεινότητας πολλαπλών κλιμάκων χρησιμοποιείται για την ανεξάρτητη αλλαγή της αντίθεσης και της συνολικής φωτεινότητας μιας εικόνας ενώ διατηρείται η ορατότητα του ολοκληρωμένου εύρους pixel.

Κατά την αλληλεπιδραστική αλλαγή αντίθεσης και φωτεινότητας εικόνων CR/DX ή MG, εφαρμόζεται ρύθμιση φωτεινότητας ή ρύθμιση φωτεινότητας πολλαπλών κλιμάκων, ανάλογα με τις ρυθμίσεις παραμέτρων στο προφίλ χρήστη. Η ρύθμιση φωτεινότητας πολλαπλών κλιμάκων είναι η προεπιλεγμένη ρύθμιση.

Η ρύθμιση αντίθεσης/φωτεινότητας ρυθμίζει την αντίθεση και τη φωτεινότητα και εφαρμόζεται εξίσου σε όλες τις τιμές pixel. Η αλλαγή της αντίθεσης τροποποιεί επίσης την κατανομή της τιμής γκρίζου ή τη φωτεινότητα της εικόνας και προκαλεί αποκοπή μέρους του εύρους τιμών pixel.

Η ρύθμιση φωτεινότητας πολλαπλών κλιμάκων προσαρμόζει την αντίθεση και τη φωτεινότητα ανεξάρτητα, με διαφοροποίηση μεταξύ των χονδρικών και λεπτομερών στοιχείων εικόνας, για την εξάλειψη της αποκοπής και τη διατήρηση της μέσης κατανομής τιμής γκρίζου στην εικόνα. Βελτιώνει την εμφάνιση της εικόνας αυξάνοντας την αντίθεση των λεπτομερών στοιχείων εικόνας ενώ διατηρείται η μέση κατανομή τιμής γκρίζου των χονδρικών λεπτομερών στοιχείων εικόνας ώστε το ολοκληρωμένο εύρος pixel να παραμένει ορατό.

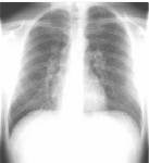
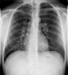
Συγκρίνετε το αποτέλεσμα ρύθμισης φωτεινότητας και ρύθμισης φωτεινότητας πολλαπλών κλιμάκων σε μια εικόνα θώρακα CR:

Μια εικόνα με αυξημένη αντίθεση που χρησιμοποιεί ρύθμιση φωτεινότητας εμφανίζει αποκοπή

Συνήθης ρύθμιση φωτεινότητας

Μια εικόνα με αυξημένη αντίθεση που χρησιμοποιεί ρύθμιση φωτεινότητας πολλαπλών κλιμάκων δεν εμφανίζει αποκοπή

Ρύθμιση φωτεινότητας πολλαπλών κλιμάκων

Αν η ρύθμιση φωτεινότητας πολλαπλών κλιμάκων είναι ενεργοποιημένη στο προφίλ χρήστη, τότε εφαρμόζεται για διαδραστική αλλαγή αντίθεσης και φωτεινότητας οποιασδήποτε εικόνας CR/DX ή MG που προβάλλεται από τον συγκεκριμένο χρήστη.