Προβολή σημάνσεων από ακτινολόγουςΑριθμός θέματος: 1416592876778

Οι προετοιμασμένες προβολές δείχνουν σημάνσεις από ακτινολόγους. Δεν περιέχουν όλες οι εξετάσεις ασθενών εικόνες με σημάνσεις.

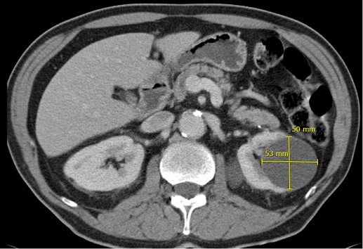
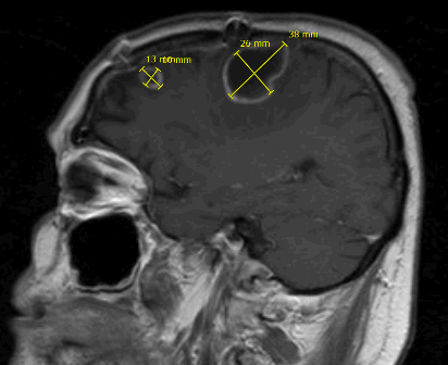
Παρακάτω θα δείτε εικόνες με σημάνσεις.

εικόνα εξέτασης με σημάνσεις ακτινολόγου εικόνα εξέτασης με σημάνσεις ακτινολόγου
Για προβολή σημάνσεων από ακτινολόγους
  1. Από την εξέταση του ασθενούς, κάντε κλικ στις Επιλογές.Εικονίδιο επιλογών
  2. Κάντε κλικ στην Εμφάνιση προετοιμασμένης προβολής.
  3. Από τη λίστα, επιλέξτε την προετοιμασμένη προβολή που θέλετε να ανοίξετε.

    Εμφανίζεται η επιλεγμένη προβολή.