Μέτρηση πυκνότητας εικόναςΑριθμός θέματος: 1416592932440
Μπορείτε να μετρήσετε την πυκνότητα ενός επιλεγμένου σημείου μιας εικόνας. Η πυκνότητα εμφανίζεται σε μονάδες που εξαρτώνται από τον τύπο της εικόνας που εμφανίζεται: Μονάδες Hounsfield (HU) για εικόνες CT, τιμές κλίμακας του γκρι (ένταση) για εικόνες DX, CR και MG όπου δεν καθορίζονται μονάδες. Μπορείτε να προσθέσετε περισσότερες από μία μετρήσεις σε κάθε εικόνα.
Αν σχεδιάζετε να δείτε εικόνες για διαγνωστικούς σκοπούς, αξιολογήστε τη συσκευή εμφάνισής σας για να καθορίσετε την καταλληλότητά της για διαγνωστική προβολή.
![]() | ΠΡΟΕΙΔΟΠΟΙΗΣΗ! Η προβολή πλήρους πιστότητας είναι μια ελεγχόμενη με άδεια δυνατότητα. Έχει επικυρωθεί για διαγνωστική προβολή μόνο σε ορισμένες πλατφόρμες και για ορισμένες μονάδες. Ο χρήστης φέρει ευθύνη να διασφαλίζει ότι η ποιότητα της εικόνας, οι συνθήκες φωτισμού και άλλοι παράγοντες ενδείκνυνται για διαγνωστικές αξιολογήσεις. |
![]() | ΠΡΟΣΟΧΗ! Δεν είναι δυνατή η αποθήκευση σημάνσεων. Είναι διαθέσιμες μόνο κατά τη διάρκεια της ενεργούς συνεδρίας προβολής. |
Κατά τη μέτρηση αποστάσεων με χρήση iPad, η ακρίβεια περιορίζεται από το περιβάλλον εργασίας αφής. Ελέγξτε ξανά τυχόν μετρήσεις που έγιναν με iPad για να διαπιστώσετε την ακρίβεια τελικού σημείου. Για να βελτιώσετε την ακρίβεια όταν χρησιμοποιείτε iPad, προσπαθήστε να κάνετε μεγέθυνση της εικόνας.
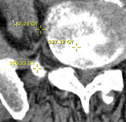
Σήμανση με εργαλείο τιμής pixel (πυκνότητα) που δείχνει την κλίμακα του γκρι (GY)
| Σήμανση με εργαλείο τιμής pixel (πυκνότητα) που δείχνει μονάδες Hounsfield (HU)
|
- Από τη γραμμή εργαλείων, επιλέξτε Μετρητής σήμανσης.

Αν είναι απαραίτητο, μεγεθύνετε την περιοχή που θέλετε να μετρήσετε.
- Από τη δευτερεύουσα γραμμή εργαλείων, επιλέξτε Τιμή pixel.

- Κάντε κλικ στην περιοχή της εικόνας για να δείτε την πυκνότητα pixel.
- Για να καταργήσετε τη μέτρηση, από τη δευτερεύουσα γραμμή εργαλείων, επιλέξτε Κατάργηση σήμανσης.

- ή
- Κάντε δεξί κλικ στη σήμανση και επιλέξτε Διαγραφή σήμανσης.
Αν χρησιμοποιείτε μια φορητή συσκευή, το μενού διαγραφής ενεργοποιείται πατώντας παρατεταμένα επάνω στη σήμανση.

