Αντιστροφή πολικότητας εικόνωνΑριθμός θέματος: 1416592905561
Μπορείτε να αντιστρέψετε την πολικότητα μιας εικόνας για να αλλάξετε τις φωτεινές και σκούρες περιοχές (πολικότητα). Τυχόν αλλαγές που κάνετε σε μια εικόνα ισχύουν μόνο για τη συγκεκριμένη ομάδα εικόνων (γνωστή επίσης ως σειρά).
Προϋπόθεση
Αν σχεδιάζετε να δείτε εικόνες για διαγνωστικούς σκοπούς, αξιολογήστε τη συσκευή εμφάνισής σας για να καθορίσετε την καταλληλότητά της για διαγνωστική προβολή.
![]() | ΠΡΟΕΙΔΟΠΟΙΗΣΗ! Η προβολή πλήρους πιστότητας είναι μια ελεγχόμενη με άδεια δυνατότητα. Έχει επικυρωθεί για διαγνωστική προβολή μόνο σε ορισμένες πλατφόρμες και για ορισμένες μονάδες. Ο χρήστης φέρει ευθύνη να διασφαλίζει ότι η ποιότητα της εικόνας, οι συνθήκες φωτισμού και άλλοι παράγοντες ενδείκνυνται για διαγνωστικές αξιολογήσεις. |
|
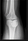
Αρχική
|
Έγινε αντιστροφή
|
Για αντιστροφή πολικότητας εικόνων
- Από την εξέταση του ασθενούς, κάντε κλικ στο παράθυρο που περιέχει την εικόνα προς διαχείριση. Αν χρησιμοποιείτε συσκευή αφής, πατήστε το παράθυρο.
Εμφανίζεται ένα έγχρωμο ορθογώνιο γύρω από την περίμετρο του ενεργού παραθύρου.
- Από τη γραμμή εργαλείων, επιλέξτε Ρύθμιση φωτεινότητας/αντίθεσης (Αντίθεση/Φωτεινότητα).
- Από τη δευτερεύουσα γραμμή εργαλείων, επιλέξτε Αντιστροφή.
Οι λευκές και οι μαύρες περιοχές της εικόνας αντιστρέφονται. Οι έγχρωμες εικόνες αντιστρέφονται επίσης.
- Για αναίρεση αντιστροφής της πολικότητας, επιλέξτε Αρχική αντίθεση/φωτεινότητα.
Γίνεται επαναφορά της εικόνας στην αρχική αντίθεση/φωτεινότητα.
