Ρύθμιση φωτεινότητας και αντίθεσης εικόνας ταυτόχροναΑριθμός θέματος: 1416592867039
Μπορείτε να ρυθμίσετε τη φωτεινότητα και την αντίθεση μιας εικόνας ταυτόχρονα. Τυχόν αλλαγές που κάνετε σε μια εικόνα ισχύουν μόνο για τη συγκεκριμένη ομάδα εικόνων (γνωστή επίσης ως σειρά).
Προϋπόθεση
Αν σχεδιάζετε να δείτε εικόνες για διαγνωστικούς σκοπούς, αξιολογήστε τη συσκευή εμφάνισής σας για να καθορίσετε την καταλληλότητά της για διαγνωστική προβολή.
![]() | ΠΡΟΕΙΔΟΠΟΙΗΣΗ! Η προβολή πλήρους πιστότητας είναι μια ελεγχόμενη με άδεια δυνατότητα. Έχει επικυρωθεί για διαγνωστική προβολή μόνο σε ορισμένες πλατφόρμες και για ορισμένες μονάδες. Ο χρήστης φέρει ευθύνη να διασφαλίζει ότι η ποιότητα της εικόνας, οι συνθήκες φωτισμού και άλλοι παράγοντες ενδείκνυνται για διαγνωστικές αξιολογήσεις. |
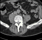
Αρχική αντίθεση/φωτεινότητα
| Έγινε ταυτόχρονα ρύθμιση της φωτεινότητας και της αντίθεσης
|
Για να ρυθμίσετε τη φωτεινότητα και την αντίθεση μιας εικόνας ταυτόχρονα
- Από την εξέταση του ασθενούς, κάντε κλικ στο παράθυρο που περιέχει την εικόνα προς διαχείριση. Αν χρησιμοποιείτε συσκευή αφής, πατήστε το παράθυρο.
Εμφανίζεται ένα έγχρωμο ορθογώνιο γύρω από την περίμετρο του ενεργού παραθύρου.
- Από τη γραμμή εργαλείων, επιλέξτε Ρύθμιση φωτεινότητας/αντίθεσης (Αντίθεση/Φωτεινότητα).

- Σύρετε τον δείκτη του ποντικιού διαγώνια από τη μια πλευρά της εικόνας στην άλλη.
- Για να αναιρέσετε όλες τις αλλαγές φωτεινότητας ή αντίθεσης, από τη γραμμή εργαλείων, επιλέξτε Αρχική αντίθεση/φωτεινότητα.

Γίνεται επαναφορά της εικόνας στην αρχική αντίθεση/φωτεινότητα.
