Μέτρηση αντικειμένου με χρήση έλλειψηςΑριθμός θέματος: 1416592928625
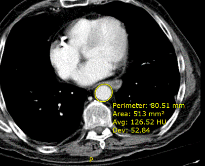
Μπορείτε να μετρήσετε την περίμετρο ή την ελλειπτική περιοχή μιας εικόνας. Μπορείτε να προσθέσετε περισσότερες από μία μετρήσεις έλλειψης σε κάθε εικόνα.
![]() | ΠΡΟΕΙΔΟΠΟΙΗΣΗ! Η προβολή πλήρους πιστότητας είναι μια ελεγχόμενη με άδεια δυνατότητα. Έχει επικυρωθεί για διαγνωστική προβολή μόνο σε ορισμένες πλατφόρμες και για ορισμένες μονάδες. Ο χρήστης φέρει ευθύνη να διασφαλίζει ότι η ποιότητα της εικόνας, οι συνθήκες φωτισμού και άλλοι παράγοντες ενδείκνυνται για διαγνωστικές αξιολογήσεις. |
Οι πληροφορίες που εμφανίζονται μετά τη χρήση του εργαλείου μέτρησης της σήμανσης έλλειψης ROI (Περιοχή ενδιαφέροντος) μπορούν να διαμορφωθούν. Από προεπιλογή, οι τιμές περιμέτρου, περιοχής, μέσου όρου και τυπικής απόκλισης εμφανίζονται αλλά δεν εμφανίζονται η μέγιστη και η ελάχιστη τιμή. Για να το αλλάξετε αυτό, επικοινωνήστε με τον διαχειριστή του συστήματος.
Οι αποκλίσεις (ελαχ., μέγ., μέσος όρος ή τυπική) δεν παρέχονται για έγχρωμες εικόνες.
Για βαθμονομημένες εικόνες, οι μετρήσεις περιμέτρου και περιοχής εμφανίζονται σε χιλιοστόμετρα (mm). Για μη βαθμονομημένες εικόνες, αυτές οι μετρήσεις εμφανίζονται σε pixel (px). Ανάλογα με τη μονάδα, οι μεσαίες, οι ελάχιστες και οι μέγιστες τιμές αναφέρονται σε HU (Μονάδες Hounsfield), GY μονάδες (Γκρι, αναπαριστά 100 Rad ή δόση της απορροφούμενης ακτινοβολίας), PV μονάδες (Τιμή Pixel) ή OD (Οπτική πυκνότητα).
Εφαρμογή σήμανσης με εργαλείο μέτρησης έλλειψης
|
Όταν εκτελείτε μια μέτρηση σε μια εικόνα προβολής, μία από τις πέντε επιλογές χρησιμοποιείται για τον υπολογισμό των τιμών περιοχής και περιμέτρου:
- proj—Η τιμή της μέτρησης παρέχεται μόνο ως προβλεπόμενη τιμή και ενδέχεται να μην αντανακλά τις ακριβείς διαστάσεις του ασθενούς υπό εξέταση.
- ermf (εκτιμώμενος ραδιογραφικός συντελεστής μεγέθυνσης) —Εφαρμόζεται σε εικόνες από μονάδες, όπως οι XA και RF, που δημιουργούν εικόνες προβάλλοντας ακτινοβολία από πηγή ενός σημείου μέσω του σώματος και στη συνέχεια σε έναν ανιχνευτή (όπως το φιλμ). Ο συντελεστής ERMF είναι η αναλογία της απόστασης ανάμεσα στην πηγή της ακτινοβολίας και τον ανιχνευτή προς την απόσταση ανάμεσα στην πηγή ακτινοβολίας και τον ασθενή.
- pr—κατάσταση παρουσίασης
- ui—καταχώριση χρήστη
- φόρτωση
Η χρήση αυτών των υπολογισμών υποδεικνύεται από το γεγονός ότι αυτές οι τιμές είναι μέσα σε αγκύλες, για παράδειγμα, Περίμετρος: 80 mm [ermf].
![]() | ΠΡΟΣΟΧΗ! Δεν είναι δυνατή η αποθήκευση σημάνσεων. Είναι διαθέσιμες μόνο κατά τη διάρκεια της ενεργούς συνεδρίας προβολής. |
- Από τη γραμμή εργαλείων, επιλέξτε Μετρητής σήμανσης.

- Από τη δευτερεύουσα γραμμή εργαλείων, επιλέξτε Σήμανση έλλειψης περιοχής ενδιαφέροντος.

![]() | Σημείωση: Κατά τη μέτρηση αποστάσεων με χρήση iPad, η ακρίβεια περιορίζεται από το περιβάλλον εργασίας αφής. Ελέγξτε ξανά τυχόν μετρήσεις που έγιναν με iPad για να διαπιστώσετε την ακρίβεια τελικού σημείου. Για να βελτιώσετε την ακρίβεια όταν χρησιμοποιείτε iPad, προσπαθήστε να κάνετε μεγέθυνση της εικόνας. |
- Στην εικόνα, κάντε κλικ και σύρετε τον δείκτη του ποντικιού για να εισαγάγετε τον πρώτο άξονα της έλλειψης.
Εμφανίζεται ένα έγχρωμο ορθογώνιο γύρω από την περίμετρο του παραθύρου της εικόνας που επεξεργάζεστε.
- Κάντε κλικ ή σύρετε για να ορίσετε τον δευτερεύοντα άξονα της έλλειψης.

Συμβουλή:
Μπορείτε επίσης να κάνετε κλικ για να ορίσετε το σημείο όπου αρχίζει το πρώτο άκρο του πρώτου άξονα, να κάνετε κλικ για να ορίσετε το άλλο άκρο του άξονα και μετά να κάνετε κλικ ξανά για να ορίσετε τον δευτερεύοντα άξονα. - Για να ρυθμίσετε την έλλειψη, κάντε δεξί κλικ στο κείμενο σήμανσης και επιλέξτε καταλλήλως:
- Επεξεργασία σημείωσης
- Εμφάνιση σημείωσης/Απόκρυψη σημείωσης
- Εμφάνιση/απόκρυψη μετρήσεων
- Εμφάνιση/απόκρυψη αγκύρωσης
Μπορείτε να ρυθμίσετε το μέγεθος της γραμματοσειράς που χρησιμοποιείται για το κείμενο σήμανσης. Το προεπιλεγμένο μέγεθος είναι 16 pt. Για να το αλλάξετε, επικοινωνήστε με το διαχειριστή του συστήματος.
- Για να καταργήσετε τη μέτρηση, κάντε δεξί κλικ στο κείμενο σήμανσης και επιλέξτε Κατάργηση σήμανσης
- ή
- Από τη δευτερεύουσα γραμμή εργαλείων, επιλέξτε Κατάργηση σήμανσης.

Στις φορητές συσκευές, ενεργοποιήστε το μενού διαγραφής με ένα παρατεταμένο πάτημα πάνω στη σήμανση.


